Elevated Prosthodontics
in Delray Beach
Advanced restorative dental care tailored to your unique needs and goals.
Welcome to Ocean Breeze Prosthodontics
A healthy, beautiful smile is more than just aesthetics. It's about confidence, function, and overall well-being. No more hiding away your smile or cookie-cutter solutions, we're committed to giving you personalized, life-changing results. Book your appointment now to begin your journey towards a confident and radiant smile.
confident & radiant smile.
Meet Your Specialist
Dr. Nicholas Goetz
Dr. Nicholas Goetz, an experienced Prosthodontist and Maxillofacial Prosthodontist, is dedicated to providing personalized care and exceptional results for every patient. With over 13 years of experience, Dr. Goetz has a passion for helping patients achieve their smile goals through advanced restorative dentistry.











Our Services
Dental Implants
Find a permanent solution to missing teeth. Dental implants are securely placed in your jaw, providing a strong foundation for replacement teeth. Whether you're missing one tooth or several, you will regain the ability to eat, speak, and laugh with confidence.
All-on-X Implants
Missing multiple teeth? All-on-X restores a full arch of your smile for results that look and feel natural. This innovative technique uses just a few strategically placed implants to support a full arch of teeth.
Take a look around




Ready to Refer?
We commonly collaborate with other healthcare professionals to offer specialized care for complex dental cases and are committed to providing the best for your patients.
The Ocean Breeze Difference
We combine modern technology and a comfortable, welcoming atmosphere to deliver full-service dental solutions for even the most complex cases.
Modern Technology
From 3D imaging to minimally invasive techniques, our technology allows us to provide top-tier services with comfort and accuracy.
Full-Service
Dental Solutions
Dental Solutions
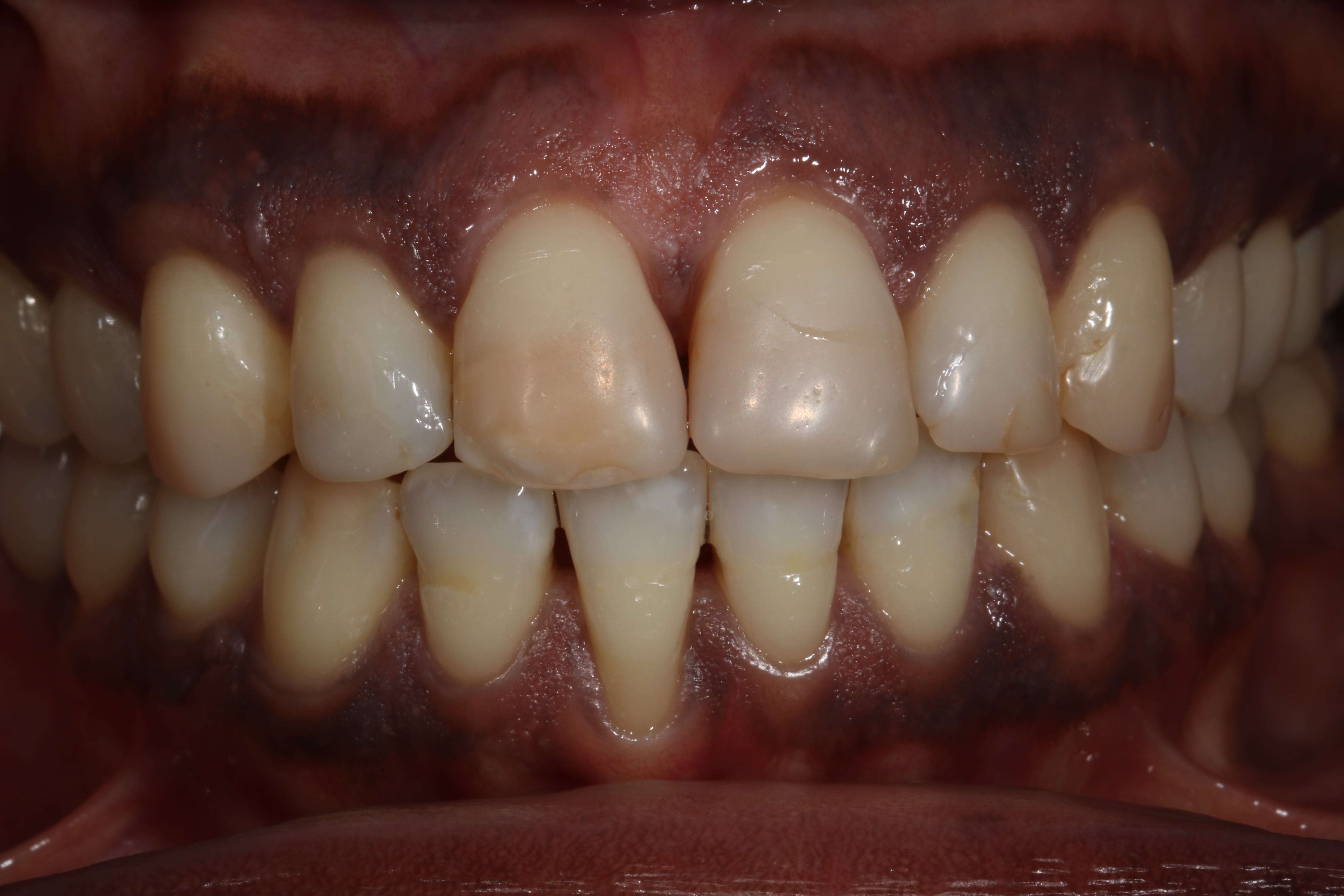
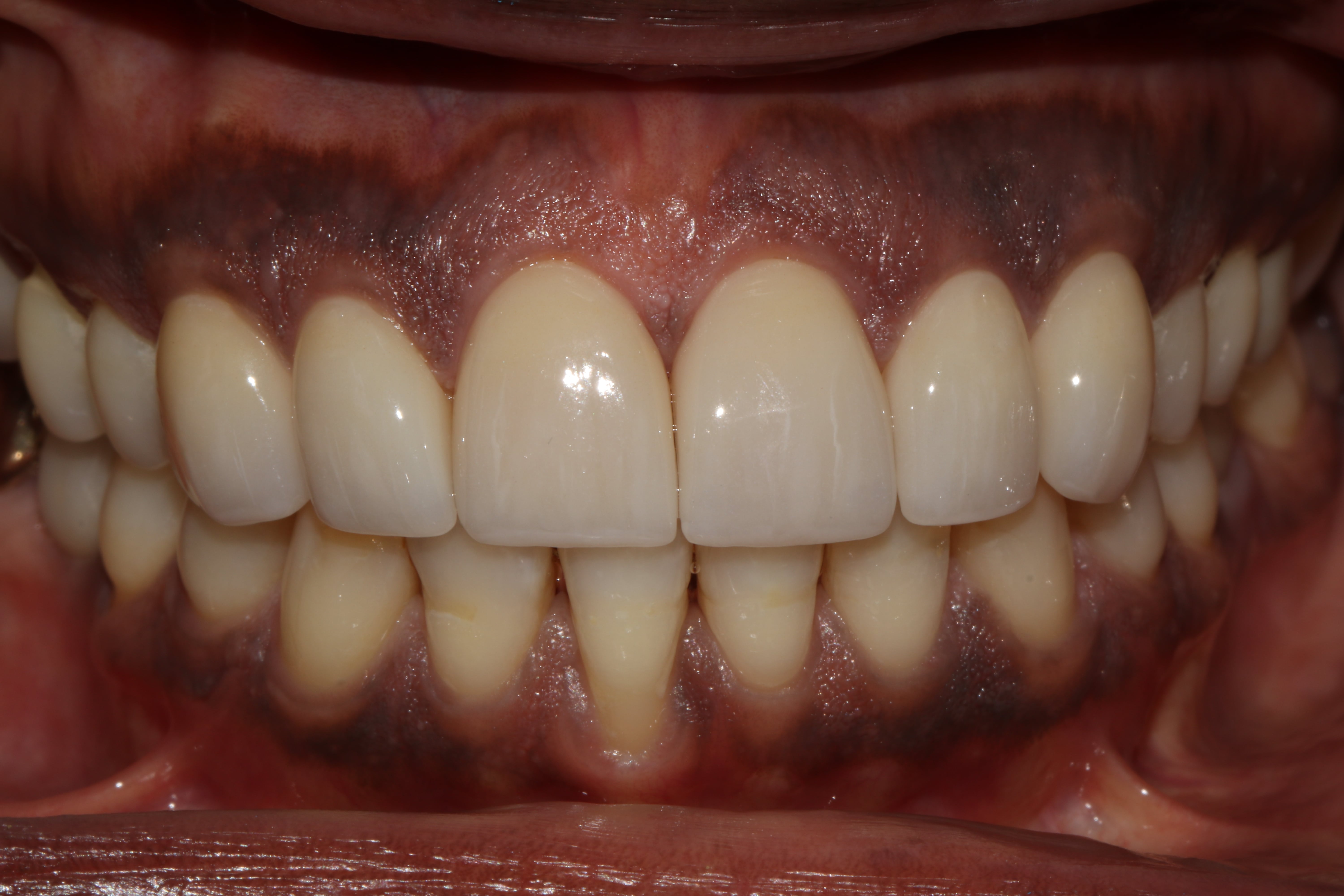
We specialize in complex cases, offering solutions that are both aesthetically pleasing and functionally superior. From implants to full mouth reconstruction, we are here to get you the results you want.

Unparalleled Expertise
Dr. Goetz is a Prosthodontist and Maxillofacial Prosthodontist which means you get the highest level of restorative and aesthetic care.
Personalized Approach
You're invested in your smile and we are invested in you. We truly get to know you, scheduling extra time for appointments so your concerns and questions are addressed with open transparency.
Transform Your Smile,
Transform Your Life
If you're ready to reclaim your confidence, we're here for you.
Get started by booking or calling today.